نوبت دهی آنلاین
متن مورد نظر خود را جستجو کنید
  • تاریخ انتشار : 1404/07/16 - 12:22
  • تعداد بازدید کنندگان خبر : 421
  • زمان مطالعه : کمتر از یک دقیقه

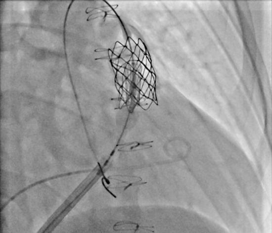
تعبیه موفقیت‌آمیز دریچه شریان ریوی در کت لب بیمارستان فوق تخصصی کودکان حکیم

تعبیه دریچه شریان ریوی Edwards-SAPIEN در نوجوان 16 ساله با موفقیت و بدون جراحی قلب باز در بیمارستان کودکان حکیم انجام شد.

به گزارش روابط‌عمومی بیمارستان فوق‌تخصصی کودکان حکیم دانشگاه علوم پزشکی تهران، مورخ ۱۴ مهر ۱۴۰۴ تعبیه دریچه شریان ریوی Edwards-SAPIEN از طریق آنژیوگرافی در کت لب بیمارستان کودکان حکیم با موفقیت انجام شد. این اقدام در نوجوانی ۱۶ ساله صورت گرفت که به دلیل پرخطر بودن جراحی قلب باز، گزینه غیرجراحی برای درمان وی انتخاب گردید.

تیم مجرب متخصصین قلب، بیهوشی قلب، جراحان قلب و تکنسین‌های اتاق کت لب در انجام این روش پیشرفته همکاری داشتند. در این تکنیک، دریچه شریان ریوی از طریق عروق پا بدون نیاز به باز کردن قفسه سینه تعبیه می‌شود و نسبت به عمل جراحی قلب باز، خطرات کمتری دارد و دوره نقاهت کوتاه‌تری برای بیمار فراهم می‌گردد.

لازم به ذکر است که تعبیه دریچه شریان ریوی نیازمند تجهیزات پیشرفته و مهارت تخصصی می‌باشد و هم‌اکنون این امکان در بیمارستان کودکان حکیم فراهم گردیده است.

  • کد خبر : 306428
مریم سادات مشعشعی
تهیه کننده:

مریم سادات مشعشعی

تصاویر

0 نظر برای این مطلب وجود دارد

ارسال نظر

نظر خود را وارد نمایید:

متن درون تصویر را در جعبه متن زیر وارد نمائید *
برای جستجو عبارت موردنظر خود را وارد کنید
تنظیمات پس زمینه